Để tư vấn, chẩn đoán và lên kế hoạch điều trị niềng răng chính xác, bác sĩ của Nha khoa Minh Thu sẽ cần thu thập những thông tin gì?

Để chẩn đoán và lên kế hoạch niềng răng chính xác, bác sĩ cần thu thập những thông tin gì?
Niềng răng (nắn chỉnh răng) không đơn thuần là sắp xếp răng cho đều, mà là quá trình điều chỉnh răng trên nền xương hàm nhằm đạt được khớp cắn đúng – khuôn mặt hài hòa – chức năng ăn nhai ổn định lâu dài.
Chính vì vậy, việc thu thập đầy đủ dữ liệu lâm sàng trước khi niềng răng là yếu tố bắt buộc để bác sĩ:
Chẩn đoán chính xác
Lập kế hoạch điều trị phù hợp
Dự kiến thời gian, phương pháp và kết quả sau điều trị
Các dữ liệu này cũng được lưu trữ để so sánh tình trạng trước – trong – sau niềng răng, đảm bảo kiểm soát chất lượng điều trị.
Đây cũng là lý do vì sao việc tư vấn qua ảnh, mô tả miệng hoặc thăm khám sơ bộ không thể đưa ra chẩn đoán chính xác.
Nhiều khách hàng có gửi hình ảnh, gọi điện mô tả qua trình trạng hay kể cả khi thăm khám sơ qua tại phòng khám có mong muốn được tư vấn về kế hoạch điều trị, thời gian và chi phí, thì việc đưa ra chẩn đoán đúng là rất khó và không chính xác. Để có được những câu trả lời, bác sĩ sẽ phải thăm khám trực tiếp cũng như có các phân tích cận lâm sàng và thu thập đầy đủ các thông tin như:
1. Lý do bạn muốn niềng răng
Bác sĩ cần hiểu rõ:
Bạn mong muốn cải thiện điều gì?
Điểm nào trên hàm răng khiến bạn mất tự tin nhất?
Mục tiêu ưu tiên là thẩm mỹ, chức năng hay cả hai?
Thông tin này giúp bác sĩ định hướng kế hoạch điều trị phù hợp với mong muốn cá nhân, đồng thời cân bằng với yếu tố chuyên môn.

2. Tiền sử bệnh toàn thân và bệnh lý răng miệng
Tiền sử y khoa
Các bệnh lý có thể ảnh hưởng đến chỉnh nha:
Tim mạch, huyết áp
Tiểu đường
Rối loạn đông máu
Hen suyễn, động kinh
Dị ứng thuốc
Tiền sử phẫu thuật hoặc chấn thương hàm mặt
Kế hoạch mang thai (với bệnh nhân nữ)
Bệnh lý răng miệng
Sâu răng, viêm lợi, nha chu
Khó khăn khi ăn nhai, vệ sinh
Các răng đã điều trị tủy, phục hình
👉 Tất cả đều ảnh hưởng trực tiếp đến khả năng niềng răng và cách kiểm soát lực.
3. Phân tích phim X-quang (cận lâm sàng bắt buộc)

Phim X-quang răng giúp bác sĩ thấy được phần “chân răng” và phần xương hàm mà mắt thường không thấy được. Giúp bác sĩ xác định được cấu trúc răng xương, xoang hàm, khớp thái dương hàm, các nguyên nhân gây nên sự sai lệch của răng và cung hàm, tương quan về răng tới xương, từ xương tới nền sọ…Ngoài ra, phát hiện khu vực sâu răng mà mắt thường không thấy được, hiện tượng tiêu xương, áp xe, những bất thường khác như nang, khối u…
Phim Panorama (Pano)
Giúp bác sĩ đánh giá:
Số lượng răng, trục răng
Răng khôn
Tiêu xương, sâu răng tiềm ẩn
Tình trạng khớp lồi cầu
Cân xứng hai bên hàm
→ Là cơ sở để quyết định nhổ răng, điều trị tủy hay xử lý trước khi niềng.
– Phim Cephalomatric:
Sau khi có phim Cephalomatric, bác sĩ sẽ cần thời gian nghiên cứu, vẽ phim, đo đạc các góc độ, so sánh kết quả đo với chỉ số bình thường.
Ca niềng răng có phải nhổ răng hay không phụ thuộc rất nhiều vào góc nhìn nghiêng mặt và phân tích phim Cephalomatric. Phim này dùng để phân tích các góc độ về răng, xương, các chỉ số mô mềm, mô cứng, trục răng… Dựa trên các thông số này mà bác sĩ có thể xác định mức độ và nguyên nhân hô, móm do xương, do hàm, hay cả hai, giai đoạn tăng trưởng… mà đưa ra phương pháp điều trị hợp lý.
– Phim chụp mặt thẳng: Đây là phim chụp từ sau ra trước nhằm đánh giá sự cân đối của khuôn mặt nhất là trong các trường hợp bị lệch mặt. Bác sĩ sẽ đo đạc và cho bạn thấy mức độ chênh lệnh 2 bên, nếu ảnh hưởng đến thẩm mỹ bác sĩ sẽ có kế hoạch điều trị cho khuôn mặt cân đối hơn.
Ngoài ra, với các bệnh nhân là trẻ em, phim chụp X-quang sẽ giúp bác sĩ “theo dõi” được phần di chuyển của răng trong xương đối với các trường hợp răng ngầm và tình trạng thiếu răng bẩm sinh của trẻ một cách chính xác nhất. Từ đó có kế hoạch di chuyển răng ngầm, hoặc không để các răng khác chạm với răng ngầm làm tổn thương chân răng.
4 – Phân tích mẫu hàm thạch cao
Mẫu hàm chính là bản sao hàm răng của bạn. Từ mẫu hàm bác sĩ sẽ phân tích tình trạng lồng múi khớp cắn, độ rộng hẹp của cung hàm, độ chen trúc giữa các răng, tỉ lệ, kích thước giữa các răng với nhau, nhất là các răng hàm phía sau khi chụp ảnh hay khám bên ngoài không thấy hết được. Dấu mẫu hàm còn giúp lưu trữ lại tình trạng răng, khớp cắn trước khi điều trị.

5. Đánh giá mô nha chu
Khám quanh răng giúp xác định:
Tình trạng xương ổ răng
Độ dày xương vỏ
Có viêm nha chu hay không
👉 Một số trường hợp cần kiểm soát lực rất chặt ngay từ đầu để tránh tiêu xương, tụt lợi.

6 – Chụp ảnh tiêu chuẩn các góc:
Hình chụp ngoài mặt:
+ Chụp ảnh chân dung khuôn mặt các góc nhìn thẳng, góc nghiêng 45 độ, 90 độ.
+ Chụp ảnh khi cười và trong tư thế nghỉ bình thường.
Dữ liệu hình ảnh mặt ngoài giúp bác sĩ phân tích tỷ lệ thẩm mỹ khuôn mặt trước khi điều trị, đánh giá được các thông tin như đường cười cao hay thấp, đường giữa mặt, đường ngang mắt, độ rộng của nụ cười, độ hở lợi nhiều hay ít, mầu sắc, hình dáng, tỷ lệ hình thể, bề mặt của răng, khoảng trống giữa đầu các răng, sự đối xứng của các răng hai bên…ngoài ra giúp đánh giá được độ nhô của mô mềm. Ngoài ra còn so sánh những thay đổi trước với sau khi điều trị để đánh giá kết quả.

Hình chụp trong miệng:
Hình ảnh răng mặt ngoài, mặt nghiêng hai bên, mặt trong hàm trên, hàm dưới
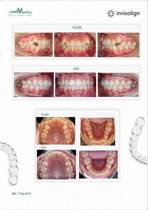
Giúp lưu lại các dữ liệu ban đầu của răng và khớp cắn, so sánh đối chiếu với kết quả sau cùng để đánh giá sự thay đổi. Có nhiều bệnh nhân sau khi niềng răng nói rằng cảm thấy không thấy có nhiều sự thay đổi, thế nhưng sau khi so sánh với hình ảnh chụp ban đầu, suy nghĩ đấy hoàn toàn thay đổi.

7. Đánh giá thẩm mỹ động
Không chỉ nhìn ảnh tĩnh, bác sĩ cần:
Quan sát khi nói, cười
Đánh giá hoạt động cơ mặt
Phân tích cung cười, trục răng, đường cười, đường trục mặt, đường ngang mắt, phần hở lợi, cung cười rộng hay hẹp, cung cười thẳng hay cong, trục răng đối xứng…
👉 Đây là yếu tố quyết định thần thái nụ cười sau niềng, không thể đánh giá qua ảnh gửi online.

Tương quan răng, độ cắn chùm, độ cắn chìa, sự cân đối của cung hàm: Khi các thông số này khác biệt với chỉ số thông thường thì bác sĩ sẽ có kế hoạch để đưa chúng về bình thường, hài hòa nhất.

8 – Các vấn đề khác
Bệnh lý khớp thái dương hàm, thói quen xấu từ hồi bé, tỷ lệ lưỡi với cung hàm… cũng cần thu thập. Tật đẩy lưỡi khá rất phổ biến gây ra khó khăn trong đóng khoảng cũng như tạo ra những khe thưa không mong muốn trong hoặc sau điều trị.
Khớp cắn sai lâu ngày có thể dẫn đến rối loạn khớp Thái Dương Hàm. Quá trình thăm khám giúp phát hiện được nguyên nhân và có phương án điều trị khớp thái dương hàm thông qua quá trình chỉnh nha.
Sau khi thu thập đầy đủ thông tin, bác sĩ sẽ tiến hành tổng hợp để đưa ra chẩn đoán chính xác, từ đây thiết kế một số phương án kế hoạch điều trị cụ thể. Để thực thi kế hoạch điều trị chỉnh nha, bác sĩ của nha khoa Minh Thu sẽ sử dụng các công cụ khác nhau tùy theo yêu cầu của khách hàng (MẮC CÀI hoặc MÁNG TRONG SUỐT INVISALIGN). Mỗi công cụ lại có cách làm khác nhau.

9 – Quét dấu hàm 3D khi niềng răng máng trong suốt Invisalign
Trong trường hợp khách hàng muốn niềng răng bằng máng trong suốt Invisalign, sẽ cần quét dấu 3D trên máy Itero. Bác sĩ sẽ sử dụng mẫu quét này và chỉ định cho các kĩ thuật viên của Invisalign để làm mô phỏng quá trình điều trị chi tiết (Clincheck3D).
Khi quét dấu 3D và làm mô phỏng điều trị bác sĩ sẽ có thông tin chi tiết kích thước các răng đến từng mm để bác sĩ tính toán và qua ứng dụng phần mềm Clincheck pro để lên kế hoạch điều trị một cách chính xác nhất. Cùng với kinh nghiệm cá nhân, bác sĩ sẽ thiết kế Clincheck các chuyển động, thứ tự di chuyển các răng, thay đổi khớp cắn, thiết kế các nút đặt lực phù hợp và xác định xem vận tốc chuyển động của răng có khả thi hay không…

Qua mô phỏng điều trị ClinCheck3D, khách hàng sẽ nhìn thấy trước kết quả điều trị, răng sẽ di chuyển ra sao qua từng khay đeo, thời gian điều trị, gói ca điều trị phù hợp và biết được chi phí chính xác…
Ngoài ra khách hàng có thể thảo luận với bác sĩ để điều chỉnh kế hoạch điều trị cho phù hợp nhất đối với gu thẩm mỹ cá nhân của mình.
Trên đây là những thông tin cơ bản bác sĩ Nha Khoa Minh Thu cần thu thập để chẩn đoán chính xác và lên một kế hoạch điều trị chỉnh nha hiệu quả, trong thời gian tối ưu nhất để niềng răng dù bằng mắc cài hay máng trong suốt Invisalign.
Kết luận
Để chẩn đoán đúng và lên kế hoạch niềng răng hiệu quả, bác sĩ cần đầy đủ dữ liệu lâm sàng và cận lâm sàng, không thể dựa trên hình ảnh hay mô tả sơ sài.
Tại Nha khoa Minh Thu, mỗi ca chỉnh nha đều được tiếp cận theo hướng:
Thận trọng
Cá nhân hóa
Ưu tiên chất lượng và độ bền vững lâu dài
Hình ảnh khách hàng niềng răng tại Nha Khoa Minh Thu Hình ảnh khách hàng
Tìm hiểu thêm về bác sĩ Vũ Đức Tùng
Nếu bạn đang cân nhắc niềng răng bằng mắc cài hoặc Invisalign, hãy thăm khám trực tiếp để được bác sĩ phân tích đầy đủ và tư vấn kế hoạch điều trị phù hợp nhất cho tình trạng răng – hàm – khuôn mặt của bạn.
Đặt lịch thăm khám
Vui lòng để lại thông tin, phòng khám sẽ liên hệ sớm nhất.
