Răng ê buốt (răng nhạy cảm): nguyên nhân và cách điều trị đúng
Răng ê buốt, hay còn gọi là răng nhạy cảm, là tình trạng rất thường gặp trong thực hành nha khoa. Nhiều người mô tả cảm giác này như một cơn đau nhói thoáng qua khi ăn đồ nóng, lạnh, chua, ngọt hoặc khi hít phải không khí lạnh. Cảm giác có thể xuất hiện đột ngột rồi hết, nhưng nếu kéo dài hoặc tái diễn thường xuyên, đó là dấu hiệu không nên bỏ qua.
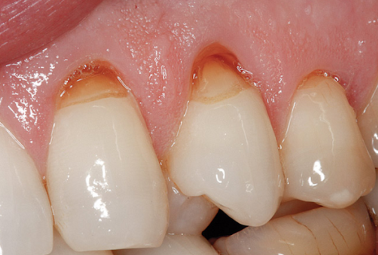
Răng ê buốt xảy ra khi ngà răng bị lộ, thường do tụt nướu, mòn men hoặc bệnh nha chu. Tình trạng này rất phổ biến và có thể gây đau nhói khi ăn đồ nóng, lạnh hoặc chua. Việc điều trị hiệu quả phụ thuộc vào chẩn đoán đúng nguyên nhân, không chỉ dùng kem giảm ê buốt. Thăm khám nha sĩ sớm giúp kiểm soát triệu chứng và ngăn biến chứng lâu dài.
Răng ê buốt là gì?
Về mặt chuyên môn, răng ê buốt xảy ra khi ngà răng bị lộ và các kích thích bên ngoài tác động trực tiếp lên hệ thống thần kinh bên trong răng. Không giống thân răng được bảo vệ bởi lớp men dày và cứng, vùng chân răng chỉ được che phủ bởi một lớp rất mỏng gọi là cementum. Khi lớp này bị mất đi, răng sẽ trở nên nhạy cảm rõ rệt.

Răng ê buốt có phổ biến không?
Răng ê buốt là tình trạng rất phổ biến. Nhiều nghiên cứu cho thấy khoảng một nửa dân số từng trải qua cảm giác này ở các mức độ khác nhau. Ở người trưởng thành và người lớn tuổi, tỷ lệ còn cao hơn do tụt nướu và mòn răng theo thời gian.
Điều quan trọng là răng ê buốt không phải lúc nào cũng là bệnh nguy hiểm, nhưng nó là dấu hiệu cho thấy răng và mô quanh răng đang có vấn đề cần được đánh giá đúng.
Nguyên nhân nào gây ra răng ê buốt?
Tụt nướu và bệnh nha chu
Đây là nguyên nhân thường gặp nhất. Khi nướu tụt, phần chân răng bị lộ ra ngoài. Vùng này không có men bảo vệ nên rất dễ nhạy cảm. Tụt nướu có thể do viêm nha chu, tuổi tác hoặc thói quen chải răng sai cách.

Răng bị tụt nướu
Mòn men răng
Chải răng quá mạnh, dùng bàn chải lông cứng hoặc kem đánh răng có độ mài mòn cao có thể làm mòn men răng theo thời gian. Khi men mỏng đi, ngà răng bên dưới dễ bị kích thích hơn.
Chế độ ăn nhiều axit
Thức ăn chua, nước ngọt có gas, nước tăng lực hoặc thói quen uống đồ có tính axit thường xuyên có thể gây mòn bề mặt răng. Axit làm men răng yếu đi và tạo điều kiện cho ngà răng bị lộ.
Trào ngược dạ dày hoặc rối loạn ăn uống
Axit từ dạ dày trào lên miệng trong thời gian dài cũng có thể làm mòn răng. Đây là nguyên nhân ít được chú ý nhưng gặp khá nhiều trong lâm sàng.
Sâu răng hoặc răng nứt
Không phải mọi trường hợp ê buốt đều là răng nhạy cảm đơn thuần. Cảm giác đau khi ăn nóng lạnh cũng có thể là dấu hiệu của sâu răng, răng nứt hoặc tổn thương tủy. Vì vậy, việc thăm khám là rất cần thiết.
Vì sao răng bị ê buốt lại đau?
Ngà răng chứa hàng nghìn ống ngà siêu nhỏ, nối từ bề mặt răng đến tủy răng – nơi tập trung các dây thần kinh. Khi ngà răng bị lộ, các kích thích nhiệt hoặc hóa học làm dịch trong các ống ngà di chuyển, từ đó kích thích dây thần kinh và gây cảm giác đau nhói.

Răng ê buốt có nguy hiểm không?
Bản thân răng ê buốt không phải lúc nào cũng nguy hiểm. Tuy nhiên, nếu không được xử lý đúng, cảm giác đau khi chải răng có thể khiến bạn vệ sinh răng miệng không kỹ. Điều này làm tăng nguy cơ sâu răng, viêm nướu và bệnh nha chu – tạo thành một vòng luẩn quẩn.
Phòng ngừa răng ê buốt bằng cách nào?
– Chải răng nhẹ nhàng, đúng kỹ thuật
– Sử dụng bàn chải lông mềm
– Chọn kem đánh răng có độ mài mòn thấp
– Hạn chế thức ăn và đồ uống có tính axit
– Dùng chỉ nha khoa đều đặn để giữ nướu khỏe
– Khám răng định kỳ để phát hiện sớm tụt nướu hoặc mòn răng

Khi bị răng ê buốt, nên làm gì?
Việc đầu tiên là đến gặp nha sĩ để xác định nguyên nhân chính xác. Không nên tự chẩn đoán vì răng ê buốt có thể che giấu các vấn đề nghiêm trọng hơn.
Tùy từng trường hợp, bác sĩ có thể chỉ định:
– Kem đánh răng chuyên dụng cho răng nhạy cảm
– Thoa fluor hoặc vật liệu che ngà tại phòng khám
– Trám răng nếu có tổn thương cấu trúc
– Điều trị nha chu nếu có tụt nướu
– Sử dụng laser trong một số trường hợp đặc biệt

Răng ê buốt không chỉ là cảm giác khó chịu thoáng qua. Đó là tín hiệu cho thấy răng và nướu đang cần được quan tâm đúng mức. Việc điều trị hiệu quả không nằm ở mẹo tạm thời, mà ở chẩn đoán đúng nguyên nhân và can thiệp phù hợp. Nếu được xử lý sớm và đúng cách, răng ê buốt hoàn toàn có thể kiểm soát tốt và ngăn ngừa biến chứng lâu dài.
Đặt lịch thăm khám
Vui lòng để lại thông tin, phòng khám sẽ liên hệ sớm nhất.
